עקמת עמוד השדרה:
מה זה סקוליוזיס וכיצד מאתרים עקמת בבני הנוער
לעתים קרובות נשמעת התלונה שהילדה או הילד שלנו הולכים עקום: הכתפיים לא בגובה שווה או שבזמן עמידה נראית צניחת כתפיים לפנים והגב כפוף. מיד עולה החשש שמדבר בעקמת של חוליות עמוד השדרה או שמדובר בחולשה של חגורת הכתפיים, ועולה החשש שהגב מתעקם עם הגדילה.
הדברים הבאים נכתבו על מנת להכניס מעט סדר ולבאר מושגים בהם נעשה שימוש, פעמים רבות לא בצורה הנכונה.
ראשית צריך להבדיל בין שני מצבים התלויים במידת הגמישות של העיוות:
האם מדובר בסטייה גמישה, כזו שניתנת ליישור לפי בקשה לעמוד זקוף, או שמה מדובר בסטייה נוקשה של עמוד השדרה כזו שלא ניתן ליישרה לפי בקשה בזמן הבדיקה הגופנית.
הדבר השני שחשוב להעריך הוא כיוון העיוות של עמוד השדרה: האם מדובר בסטייה במישור של כיפוף לפנים או האם בהטיה של הגו (גֵו = חלק הגוף העליון ללא הזרועות) לאחד הצדדים?
המצבים הגמישים ("הילד שלי הולך כפוף")
גם אם ההטיה היא לפנים (כך זה ברוב המקרים – "הבן שלי הולך כפוף") וגם אם לצדדים – מדובר לרוב בהרגלי יציבה לא תקינים. מצב זה אינו עקמת אמתית אלא נקשר ליציבה לא תקינה. התנוחה הלא ישרה מטרידה מאוד - במיוחד את הורים... הילד לרוב לא מבין מה הבעיה ומדוע צריך לעמוד זקוף. ההסבר הרפואי הוא שהימשכות התנוחה הכפופה עלולה לגרום לכאב גב ממקור שרירי הגב אשר מכווצים באופן קבוע בתנוחות אלו, וכי בטווח הארוך המצב עלול כן להפוך לבעיה במבנה, ואז לא ניתן עוד ליישר את הגב "גם אם רוצים".
בהטיות הגמישות לצדדים צריך לבדוק גורם נוסף ששכיח למצוא – אי שוויון באורך הרגליים. במקרה זה הטיה של האגן לצד אחד תגרום לעמוד השדרה להתעקם לכיוון הרגל הקצרה.
הטיפול במצבים הגמישים צריך להיות בשני כיוונים: חיזוק שרירי הליבה (גב ובטן) כמו גם שיפור המודעות ליציבה נכונה. הדבר יכול להיעשות על ידי תרגול במסגרת פיזיותרפיה תחילה, ובהמשך באופן עצמאי בבית. תרגול יומי הוא גם דרך לשיפור המודעות. עצם החיזוק של שרירי הליבה וחגורת הכתפיים לבדם לא מבטיח יציבה זקופה. התרגול, הוא זה שיתרום למודעות.
שאלה נפוצה נוגעת להתאמת מחוך או חגורה השומרים על זקיפות הגב. ההמלצה הברורה מאוד במקרים אלה היא שלא להשתמש בחגורות: במקום ששרירי הגו ישמרו על זקיפות עמוד השדרה – התמיכה הפאסיבית תגרום להחלשה של השרירי ולתלות בחגורה. הפסקת השימוש בחגורה עלולה לגרום לעמידה כפופה עוד יותר.
הטיות צדיות שמקורן באי שוויון באורך רגליים יתוקנו לרוב על ידי מתן הגבהה מתחת לרגל הקצרה תוך שימוש במדרסים לאיזון האגן ומתן פיצוי להפרשי הגובה. המצב מחייב מעקב אחר גדילת אורך הרגליים וצריך להיות מטופל בהתאם. במצבים בהם הפער גדול משני ס"מ ניתן לשקול התערבויות ניתוחיות לאיזון הפער בין הרגליים.
המצבים הנוקשים – עיוותים במבנה כדוגמת סקוליודיס או קיפוזיס:
עקמת עם עיוות צידי (סקוליוזיס):
העקמת הנפוצה ביותר ולה יוקדש רוב הפרק הנוכחי היא עקמת המופיעה בעיקר אצל בנות (בשכיחות עד פי 7 במצבים החמורים ביחס לבנים) בגיל ההתבגרות. העקמת הנפוצה, מכונה עקמת אידיופתית (אידיופתי = שמקורה אינו ידוע) מהווה 80% מכל העקומות המבניות. עקמת זו אינה מולדת אלא מופיעה במהלך ההתפתחות והגדילה מעל גיל 10 שנים. העקמת יכולה להיות קלה ונסתרת בשלבים המוקדמים, עם הופעת החמרה ניכרת בתקופת הגדילה המהירה שבגיל ההתבגרות. הגורם להופעת העקמת אינו ברור. קיים מרכיב גנטי משמעותי וסיפור משפחה חיובי לקיום עקמת משמעותי מאוד להערכת הסיכון להופעתה ולהחמרתה. ההתקדמות בשיעור העקמת נובעת מעיוות מחמיר במבנה החוליות עצמן, אשר מודגש ומידרדר עם גדילתן. צורת העקמת השכיחה ביותר היא בעמוד השדרה הגבי (החלק העליון של עמוד השדרה הבנוי מ-12 חוליות, וזאת להבדיל מעמוד השדרה המותני המורכב מחמש החוליות התחתונות). כיוון העקמת הגבית ברוב רובם של המקרים הוא ימני – כלומר הצד הקמור של העקמת פונה ימינה.
צורת העיוות בעקמת מורכב ממה שניתן לחשוב: לא מדובר רק בהטיית עמוד השדרה לצד ימין או שמאל – קיים גם מרכיב בולט של פיתול החוליה במישור האופקי. פיתול החוליה הוא זה שמעוות את בית החזה וגורם לאותה גיבנת שניתן להבחין בה בקלות בבדיקה הגופנית: בזמן כיפוף לפנים ניתן להבחין באי שוויון בגובה הצלעות משני צידי עמוד השדרה – כאשר מתבוננים מאחור.
לעיתים קרובות העיוות הסיבובי מקדים את הכיפוף הצידי כך שבדיקות לסיקור ואיתור מוקדם של עקמת נעשות באמצעות בדיקה זו. מרכיב נוסף שקיים בעקמת הוא יישור יתר של עמוד השדרה הגבי במישור הקדמי אחורי.
כאמור מדובר בבעיה מבנית התפתחותית. עם הגדילה קיימת סכנה להחמרה בעקמת המתמשכת ברוב המקרים עד לסיום הגדילה. עם סיום הגדילה נעצר לרוב תהליך ההחמרה והעקמת מתייצבת.
הקושי בטיפול בעקמת הוא שברגע שהיא קיימת – אין דרך להחזיר את מצב עמוד השדרה למצבו הקודם להופעת העקמת באמצעים שמרניים שאינם ניתוחיים. שיטות שמרניות שונות נוסו במהלך ההיסטוריה אך לצערנו לא הוכחו כיעילות בתיקון העקמת המבנית. נכון שברוב העקומות, ביחוד בשלבים המוקדמים, קיים מרכיב גמיש המתווסף על המרכיב המבני הנוקשה, ואכן ניתן לחזק ולשפר את היציבה במעט תוך עבודה על אותו מרכיב גמיש. לצערנו אין בכך משום מניעה בהחמרת העקמת או אמצעי לתיקונה. השיטה הוותיקה של שימוש במחוכים היא היחידה המוכרת כיום כיעילה בשיעור הנע סביב 80% מהמטופלים במניעת החמרתה.
המחוך הינו מעין חגורה שחובקת את פלג הגוף העליון ואשר עשוי מפלסטיק קשיח הנבנה ומותאם אישית לכל מטופל ומטופלת. קיימים מספר סוגי מחוכים המיוצרים על ידי אורטוטיסט במכונים אורתופדים המתמחים בכך. מקצועיות האורטוטיסט בבניית המחוך חשובה ביותר. הטיפול במחוך חייב להיעשות במשך רוב רובן של שעות היממה. ההמלצה להשתמש במחוך היא כ-22 שעות ביממה – כלומר הסרת המחוך מותרת לזמן קצר בלבד – בעיקר לצורך רחצה, בזמן פעילות גופנית וכד'. לפיכך ההחלטה על טיפול במחוך אינה פשוטה וחשוב להסביר את תפקיד המחוך ובאילו מצבים מומלץ השימוש בו.
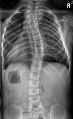
שיעור העקמת נמדד על פני צילום רנטגן הנעשה בעמידה וכולל את כל עמוד השדרה ורכס האגן. העקמת נמדדת במישור הצידי מהחוליה העליונה ועד התחתונה בעקמת. שיעור העקמת והפוטנציאל להחמרתה הם המשתנים עליהם מבוססת ההחלטה לטיפול במחוך. עקמת מעל 20 מעלות היא עקמת שמצדיקה התאמת מחוך - כל עוד קיים פוטנציאל גדילה אצל המטופל/ת. הסיכון להחמרה בעקמת תלוי לכן בגיל הנער/ה, מידת התפתחות/ה, וגיל העצמות. ככל שהגיל צעיר יותר כך קיים סיכון רב יותר להחמרה של העקמת במהלך הגדילה. כך למשל נער/ה בגיל 16 המגיעים עם עקמת בת 30 מעלות לא יתאימו לטיפול במחוך משום שסיימו קרוב לוודאי את גדילתם ואין חשש להחמרה בעקמת. בגלל הקושי בהחלטה על טיפול במחוך יש הממליצים לעקוב מספר חודשים אחר מידת השינוי בעקמת ואם אכן קיימת החמרה בשיעורה – ימליצו על טיפול במחוך.
הטיפול הניתוחי בעקמת אידיופתית שמור למצבים הקשים יותר – בעיקר בעקמת מעל 45 מעלות או כאלו שמחמירות למרות הטיפול במחוך. הסיבה להמלצה הניתוחית היא שבעקומות שמעל 50 מעלות קיים סיכון משמעותי להחמרה מתמשכת גם לאחר סיום הצמיחה. מדובר בהחמרה מאוד הדרגתית (כמעלה בשנה) אך העיוות בהמשך החיים משמעותי מאוד ועלול לגרום להפרעה בתפקוד הנשימתי בעתיד.
מספר נקודות שחשוב לציין:
צריך לזכור שברוב המקרים מדובר בבעיה שעיקרה קוסמטית. הסכנה הבריאותית מופיעה בעקומות משמעותיות מאוד (מעל 70 מעלות) או כאלו המופיעות בצורה לא טיפוסית בגיל הילדות המוקדמת שמתחת לגיל 10 שנים. ברוב המקרים אין הפרעה למהלך החיים כולל כל פעילות גופנית, כניסה להריון וכד'. קיימות עדויות לשכיחות גבוהה יותר של כאב גב עתידי בלוקים בעקמת אידיופתית, אך הממצא אינו לגמרי חד משמעי. אכן זו אחת הבעיות בעקמת האידיופתית - הופעתה אינה מלווה ברוב המקרים בכאב גב ולכן עלולה להימצא בשלב חמור בזמן גילויה. ההפרעה העיקרית קשורה בהיבטים הנפשיים שבתדמית האישית.
צילום עמו"ש של עקמת גבית

חשוב לומר שההיסוס בהתחלת הטיפול עלול להביא להחמרת העקמת בזמן ההמתנה לטיפול. במידה וקיימת התוויה לטיפול – רצוי להתחיל מוקדם על מנת למנוע החמרה בלתי הפיכה בתקופת הגדילה המהירה.
נקודה נוספת נוגעת לשיטת המדידה והמעקב אחר העקמת. אין תחליף להדמיית עמוד השדרה על ידי צילום רנטגן. מדידת העקמת נעשית על גבי צילום רנטגן של עמוד השדרה ולא יכולה להיעשות על גבי MRI, אולטראסאונד או שיטות הדמיה אחרות שנוסו במהלך ההיסטוריה. החשש מקרינת רנטגן מוצדק לאור ריבוי הצילומים שאותם מטופלים עוברים במהלך המעקב. יש לציין שברוב המרכזים בהם מטפלים בעקמת, קיימים מכשירי רנטגן מופחתי קרינה שנועדו לצילומי העקמת. יש הצדקה לבקש ולבצע את צילומי המעקב עצמם תוך שימוש במכונות רנטגן ייעודיות לצילומי עמוד השדרה.
עקמת עם כיפוף קדמי (קיפוזיס)
מצב זה המכונה קיפוזיס מבנית הוא נדיר יותר מהעקמת הסקוליוטית. מקורו במבנה גופי חוליות בצורת יתד עם זיוות של גוף החוליה בחלקה הקדמי שכך שנוצר מבנה כיפוף של עמוד השדרה. הקיפוזיס המבנית שכיחה בשיעורים דומים בין בנים ובנות. בבדיקה הגופנית ניתן לראות במצבים אלו כיפוף חד בעמוד השדרה הגבי בזמן כיפוף לפנים כפי שנראה בהסתכלות מהצד. הקיפוזיס המבנית (להבדיל מזו התנוחתית) אינה מתיישרת בזמן ניסיון לעמוד ישר או בזמן מתיחת הגב לאחור.
בדומה לעקמת המבנית הצדית, הטיפול העיקרי בקיפוזיס מבנית נעשה באמצעות שילוב תרגילים לחיזוק שרירים זוקפים של עמוד השדרה בשילוב שימוש עם מחוכים התומכים בעמוד השדרה ומכווינים את הגדילה בצורה ישרה.

